Global AI Weekly
Issue number: 17 | Monday, September 4, 2023
Highlights

Enhancing Recommendation Systems with Large Language Models
Large Language Models have shown incredible capabilities in the field of Generative AI, and the potential to unlock new applications in many industries.
medium.comMeta releases Code Llama, a code-generating AI model
Meta, intent on making a splash in a generative AI space rife with competition, is on something of an open source tear.
techcrunch.comVideo

Revolutionize Applications With Vector Search - Global AI Notes
Join us as we explore the groundbreaking capabilities of Vector Search, now available in public preview on Azure Cognitive Search.
youtube.com
Nicolas Robert - Humans in AI
Join Nicolas Robert, a cloud architect at Cellenza, as he discusses the revolutionary impact of AI.
youtube.comArticles

How do we best govern AI?
The post How do we best govern AI? appeared first on Stories.
blogs.microsoft.com
Amazon brings new AI-driven features to Thursday Night Football
As Amazon’s Prime Video gears up for its second year as the exclusive rights holder to NFL’s Thursday Night Football (TNF), the streaming service hopes to give fans a more enhanced viewing experience with a slew of new AI-driven features.
techcrunch.com
ChatGPT Prompt Engineering for Developers
What you’ll learn in this course In ChatGPT Prompt Engineering for Developers, you will learn how to use a large language model (LLM) to quickly build new and powerful applications. Using the OpenAI…
deeplearning.ai
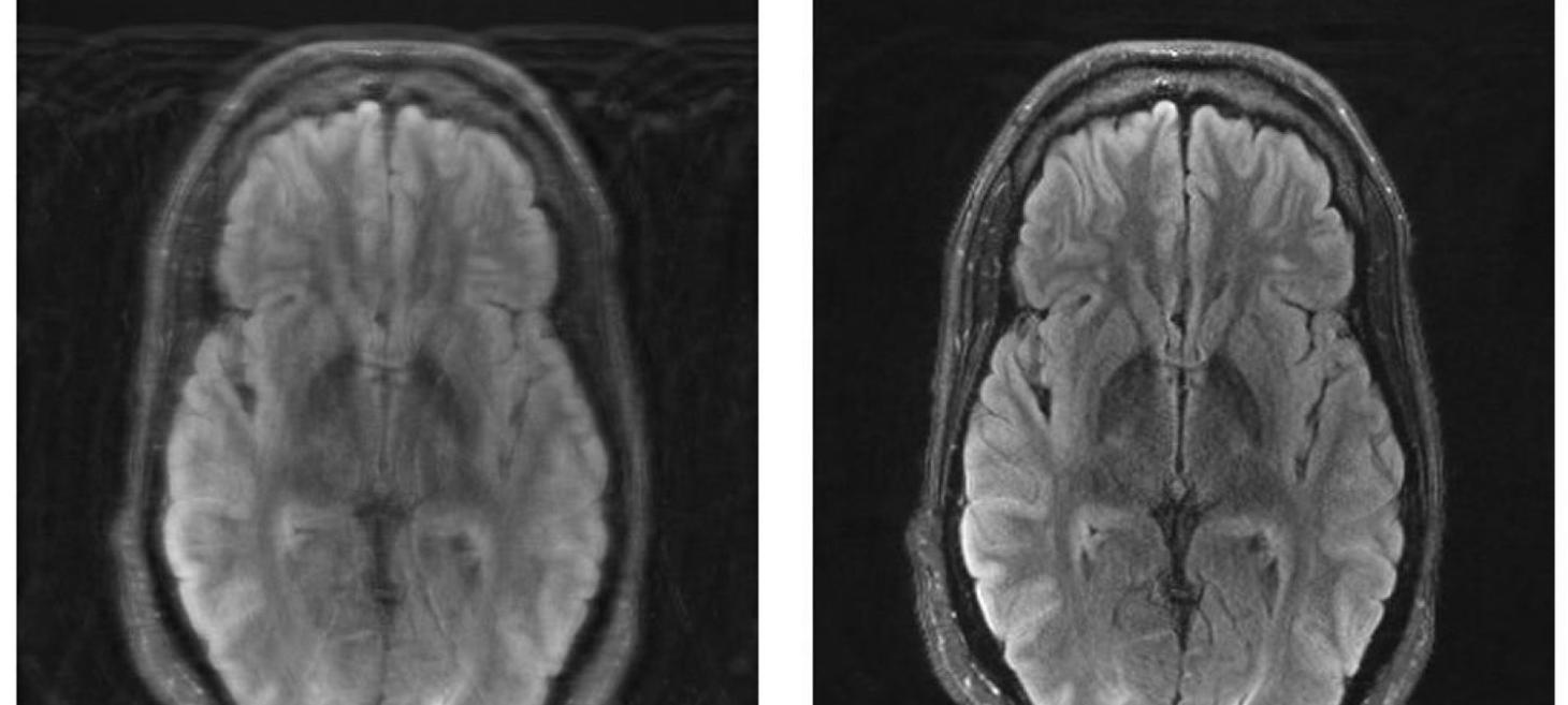
MIT researchers combine deep learning and physics to fix motion-corrupted MRI scans
The challenge involves than just a blurry JPEG. Fixing motion artifacts in medical imaging requires a more sophisticated approach.
news.mit.edu
Reducing Bias in LLMs: Fine-Tuning for Fairer Language Models
In Natural Language Processing (NLP), the widespread adoption of Deep Learning models has become standard practice, owing to their remarkable ability to comprehend context and vast knowledge.
generativeai.pubUpcoming Events
5 September | Natural language processing, behind the scenes
We are living in a time where AI assistants compose poems, write code and post on social medias. This is so powerful, that it might look like magic. Join us to explore the hidden tricks of natural language processing (NLP), how this works and how foundational models gave a big boost to this technical field.
globalai.community16 - 17 October | PyTorch Conference 2023
Learn about PyTorch 2.0, the next-generation release of PyTorch. San Francisco, CA.
events.linuxfoundation.org12 December | Global AI Conference 23
Global AI Conference is an online event organised by Global AI Community. It is designed to give an introduction to the world of AI, and showcase relevant technologies.
globalai.community